新城疫病毒(NDV)对家禽产业构成威胁,同时也被视为溶瘤病毒的潜在候选者。其感染与复制过程可导致宿主细胞的凋亡,这对其致病性和溶瘤活性的发挥具有关键影响。细胞内的溶酶体负责分解和回收废物,以维持细胞内环境的稳定。溶酶体膜通透性(LMP)会使酶释放到细胞质中,可能引发包括凋亡在内的细胞死亡。然而,NDV如何诱导LMP及其在凋亡过程中的作用尚不明确。
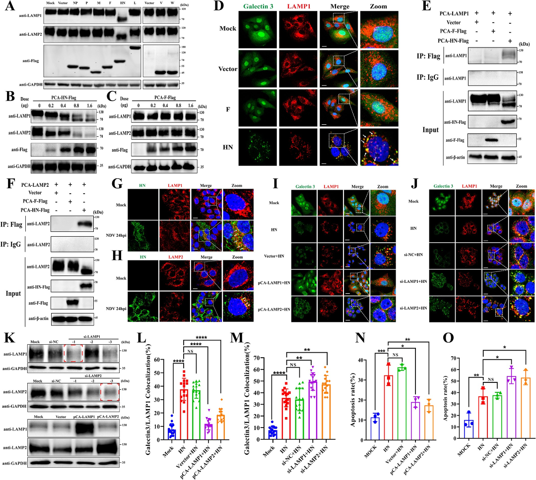
NDV的血凝素神经氨酸酶蛋白(HN)蛋白是一种具有病毒吸附和传播双重功能的表面蛋白,其唾液酸酶活性有助于病毒的释放和防止聚集。HN蛋白也被认为与NDV诱导的细胞凋亡有关,但其具体作用机制尚未完全揭示。
2024年2月14日,扬州大学兽医学院动物传染病实验室刘秀梵院士研究团队在PLOS Pathogens上发表了一篇题为The HN protein of Newcastle disease virus induces cell apoptosis through the induction of lysosomal membrane permeabilization的研究,聚焦于新城疫病毒(NDV)感染如何触发溶酶体膜通透性(LMP)并导致细胞凋亡。

文章要点
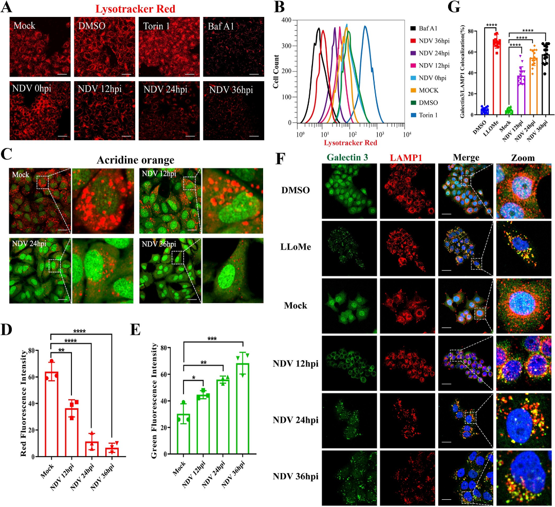
1)NDV感染导致HeLa细胞中Lysotracker Red荧光强度下降,这表明溶酶体酸化减少,是LMP的早期指标。同时,Acridine Orange(AO)染色显示红色荧光信号减少,绿色荧光信号增加,进一步证实了LMP的发生。

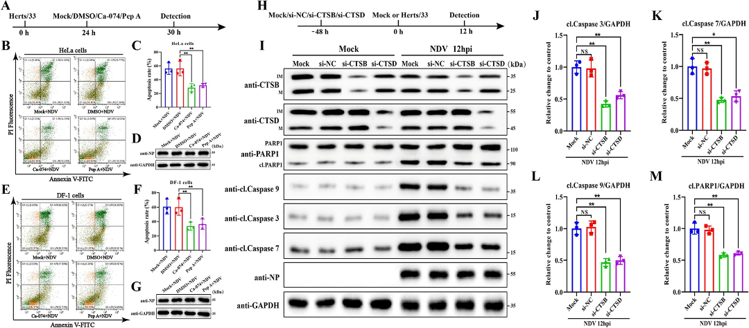
2)半胱氨酸蛋白酶B(CTSB)和半胱氨酸蛋白酶D(CTSD)的角色:NDV感染促使CTSB和CTSD从溶酶体释放到胞质,这些蛋白酶的释放进一步加剧了LMP,并通过诱发线粒体功能障碍和增加ROS产生,促进细胞凋亡。

3)HN蛋白的关键作用:HN蛋白通过其唾液酸酶活性介导LAMP1和LAMP2的去糖基化和降解,进而触发LMP和细胞凋亡。对HN蛋白特定氨基酸位点的突变减弱了其诱导LMP和凋亡的能力,强调了HN蛋白在NDV引发LMP和细胞凋亡中的核心角色。

4)LMP与NDV复制的相互作用:LMP的诱导显著影响NDV的复制,表明LMP不仅促进细胞凋亡,也可能通过促进病毒复制来增强NDV的致病性和肿瘤溶解能力。
5)LMP和ROS的相互作用:NDV感染引发的ROS产生在LMP诱导中发挥了促进作用,表明ROS在NDV感染过程中的LMP和细胞凋亡中起到关键的中介作用。
小结
这项研究揭示了NDV感染如何通过诱导LMP来促进细胞凋亡的新机制,为利用NDV作为肿瘤病毒疗法开发提供了新的理论基础和潜在靶点。
参考文献
Chen Y, Zhu S, Liao T, Wang C, Han J, Yang Z, Lu X, Hu Z, Hu J, Wang X, Gu M, Gao R, Liu K, Liu X, Ding C, Hu S, Liu X. The HN protein of Newcastle disease virus induces cell apoptosis through the induction of lysosomal membrane permeabilization. PLoS Pathog. 2024 Feb 14;20(2):e1011981.
https://doi.org/10.1371/journal.ppat.1011981.